欢迎访问新利网页版登录入口!

过碘酸—雪夫染色

医学实验主要包括分子生物学、细胞生物学、病理学、免疫学的实验;SCI论文主要包括论文翻译、母语润色改写;专利主要包括发明专利、实用新型专利、外观设计专利的申请;专著主要包括单篇学术论文、系列学术论文和学术专著的出版。

过碘酸—雪夫染色 当前位置:首页 > 新利(中国)产品 > 医学实验 > 病理学 > 特殊染色

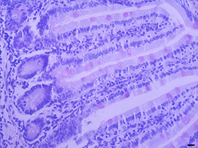
过碘酸-雪夫(Pexiodic acid-schiff,PAS)染色又称糖原染色。胞浆内存在的糖原或多糖类物质(如黏多糖、黏蛋白、糖蛋白、糖酯等)中的乙二醇基(CHOH-CHOH)经过碘酸(Periodic acid)氧化,转变为二醛基(CHO-CHO),与雪夫(Schiff

过碘酸—雪夫染色

       过碘酸-雪夫(Pexiodic acid-schiff,PAS)染色又称糖原染色。胞浆内存在的糖原或多糖类物质(如黏多糖、黏蛋白、糖蛋白、糖酯等)中的乙二醇基(CHOH-CHOH)经过碘酸(Periodic acid)氧化,转变为二醛基(CHO-CHO),与雪夫(Schiff)试剂中的无色品红结合,形成紫红色化合物而沉积于胞浆中糖原类物质所存在的部位。该反应称为过碘酸-雪夫(PAS)阳性反应。
上一篇:刚果红染色
下一篇:网状纤维染色
热门推荐
>
<